¿QUÉ ES LA RESONANCIA MAGNÉTICA DE LA CABEZA O CEREBRO Y CÓMO FUNCIONA?

¿Qué es la Resonancia de la Cabeza y Cómo Funciona2

Si alguna vez has escuchado hablar sobre la resonancia de la cabeza o cerebro y te has preguntado cómo funciona este tipo de estudio, estás en el lugar correcto.

Esta guía está diseñada para darte una visión clara y completa sobre qué es una resonancia de la cabeza, cómo funciona, y por qué se ha convertido en una herramienta fundamental en los diagnósticos médicos.

Al terminar, sabrás cómo este procedimiento puede ayudar en el diagnóstico de múltiples condiciones, así como las diferencias clave entre la resonancia y otros estudios, como la tomografía.

¿Cómo funciona la resonancia de la cabeza o cerebro?

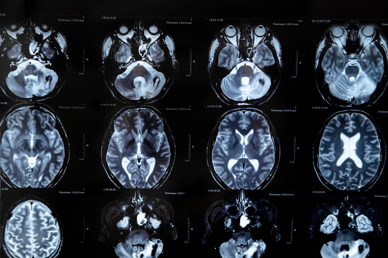
Utiliza campos magnéticos potentes y ondas de radio para generar imágenes detalladas sin necesidad de radiación. Esto hace que el procedimiento sea especialmente seguro y efectivo para detectar anomalías, desde pequeños tumores y hemorragias, hasta trastornos neurológicos complejos.

La resonancia de la cabeza funciona al colocar al paciente en una máquina de resonancia magnética (MRI, por sus siglas en inglés). Durante el estudio, el dispositivo crea un campo magnético que alinea temporalmente los protones en las células del cuerpo.

Luego, ondas de radio los estimulan para que produzcan señales, las cuales son capturadas y convertidas en imágenes detalladas del cerebro.

Resonancia de la Cabeza

Diferencias entre resonancia de la cabeza o cerebro y tomografía computarizada de cráneo

Es común que las personas confundan la resonancia de la cabeza o cerebro con la tomografía computarizada (CT) de cráneo, es importante resaltar que son dos técnicas de imagen que se utilizan para examinar el cerebro y el cráneo, pero tienen diferencias fundamentales en cuanto a su principio de funcionamiento, ventajas, limitaciones y aplicaciones.

¿Qué esperar en el proceso de la realización de una resonancia de la cabeza o cerebro?

  • El procedimiento dura entre 30 a 60 minutos.
  • Estarás acostado en una camilla, con tu cabeza dentro de la máquina.
  • Debes permanecer inmóvil durante el examen.
  • La máquina produce ruidos fuertes, pero se te proporcionarán auriculares o tapones.
  • Si se usa contraste, se inyectará un líquido a través de una vena en el brazo.
  • El examen es indoloro y seguro.

Mitos y verdades sobre la resonancia de la cabeza o cerebro

Con tantos mitos en torno a la resonancia magnética, es fácil que surjan dudas y preocupaciones. Aquí aclaramos algunos de los mitos más comunes:

  • Mito 1: La resonancia de la cabeza causa daño cerebral.
    Verdad: La resonancia es completamente segura. No utiliza radiación ni tiene efectos secundarios dañinos para el cerebro o el cuerpo.
  • Mito 2: La resonancia magnética es dolorosa o invasiva.
    Verdad: Es un estudio no invasivo y libre de dolor. Aunque algunos pacientes pueden sentir incomodidad por el ruido o la sensación de encierro, muchos centros ofrecen audífonos o soluciones para hacerlo más cómodo.
  • Mito 3: No puedo realizarme una resonancia si tengo implantes metálicos.
    Verdad: No todos los implantes impiden una resonancia, pero algunos pueden interferir. Es fundamental informar al equipo médico sobre cualquier metal en el cuerpo, ya que existen procedimientos para garantizar la seguridad.

¿Te ha surgido alguna pregunta sobre este estudio? Explora más artículos como Estudio de resonancia magnética cerebral en nuestro blog y conoce cómo estos avances pueden mejorar la precisión en los diagnósticos.

Conclusión: Importancia de la resonancia de la cabeza o cerebro en el diagnóstico médico

La resonancia de la cabeza o cerebro es una herramienta invaluable en el diagnóstico de problemas neurológicos. Con su capacidad para mostrar detalles precisos del cerebro y otras estructuras internas, es esencial para detectar, monitorear y tratar condiciones de salud de manera temprana y efectiva.

Si tienes síntomas neurológicos, antecedentes familiares de enfermedades cerebrales o simplemente deseas saber más sobre este procedimiento, primero realiza una consulta con tu doctor para evaluar si una resonancia de la cabeza es adecuada para ti.

Visita nuestro sitio web para obtener información detallada y descubre cómo podemos ayudarte a cuidar de tu bienestar.

Scroll al inicio